LA LOCALIZACIÓN DE LOS GENES
Mendel desconocía en qué consistían esos factores hereditarios que se transmitían de aquel modo. En aquella época todavía no se conocía el papel fundamental de los cromosomas ni de la meiosis en la transmisión hereditaria.
LA TEORÍA CROMOSÓMICA DE LA HERENCIA
En 1905, el zoólogo estadounidense Thomas Morgan elaboró la Teoría cromosómica de la herencia, gracias a la cuál se pudieron explicar las leyes de Mendel.
Los puntos fundamentales de dicha Teoría son los siguientes:
1.- Los genes están localizados en los cromosomas. Un determinado fragmento de la cadena de ADN (material genético) que forma los cromosomas, constituye un gen.

2.- Cada gen ocupa un lugar (locus) concreto en cada cromosoma. Los distintos genes están ordenados linealmente a lo largo de los cromosomas.

3.- Los dos alelos que determinan un carácter se localizan en dos cromosomas del mismo tamaño y aspecto, denominados cromosomas homólogos.
Cromosomas homólogos son los que forman un par y se recombinan durante la meiosis. Tienen la misma estructura y los mismo loci pero distintos alelos, ya que cada uno procede de un progenitor.
GENES INDEPENDIENTES Y LIGADOS
La tercera ley de Mendel demuestra que los diferentes caracteres se transmiten de forma independiente unos de otros. Sin embargo, algunas parejas de alelos se localizan en la misma pareja cromosómica. En este caso, la tercera ley de Mendel no se cumple y se dice que los genes correspondientes están ligados.
Todos los genes localizados en el mismo cromosoma son genes ligados entre si y se transmiten de forma conjunta. Veamos los tipos de genes:
Genes independientes
Se denominan genes independientes cuando se encuentran en diferentes parejas de cromosomas homóologos. En este caso se cumple la 3ª Ley de Mendel ya que se forman los cuatro tipos de gametos: AB, Ab, aB, ab

Genes ligados
Cuando los genes se encuentran en la misma pareja de cromosomas homólogos, se dice que están ligados y no se cumple la tercera ley de Mendel. Esto se debe a que tras la meiosis sólo se forman dos tipos de gametos: AB y ab

Genes ligados con recombinación
Aunque los genes estén ligados, algunos individuos heterocigóticos pueden formar gametos de los cuatro tipos y cumplir la 3ª ley de Mendel. Esto ocurre cuando los cromosomas homólogos intercambian partes de sus cromátidas durante la profase I de la meiosis. Se produce una recombinación de los genes que permite la aparición de los mismos genotipos que aparecen en el caso de los genes independientes.
La probabilidad de que esto suceda en genes ligados depende de la distancia a la que se encuentren en el cromosoma. A mayor distancia entre ellos mayor probabilidad de que se recombinen y que se transmitan como si fueran "independientes".


Recombinación de cromosomas homólogos durante la Profase I de la Meiosis
Gracias a la Teoría cromosómica de la herencia se pudieron explicar los casos en los que la tercera ley de Mendel no se cumplía.
LOS MAPAS CROMOSÓMICOS
Tras la aceptación de la teoría cromosómica de la herencia, se estudiaron con detalle los cromosomas, observándose diferentes tipos.

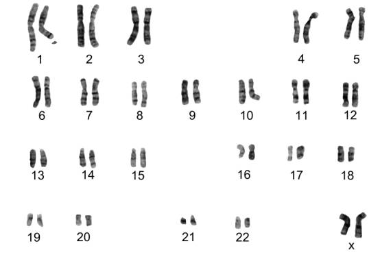
Cariotipo humano (cromosomas anafásicos: con una cromátida)
Clases de cromosomas:
· Metacéntrico: Un cromosoma metacéntrico es un cromosoma cuyo centrómero se encuentra en la mitad del cromosoma, dando lugar a brazos de igual longitud.

· Submetacéntrico: Un cromosoma submetacéntrico es un cromosoma en el cual el centrómero se ubica de tal manera que un brazo es ligeramente más corto que el otro.
· Acrocéntrico: Un cromosoma acrocéntrico es aquel cromosoma en el que el centrómero se encuentra más cercano a uno de los telómeros, dando como resultado un brazo muy corto (p) y el otro largo (q).
· Telocéntrico: Un cromosoma telocéntrico es un cromosoma en el que el centrómero está localizado en un extremo del mismo.
Ejercicio: Identifica los cromosomas del cariotipo humano
Cromosomas metafásicos: con dos cromátidas
ver solución
Identificación de los cromosomas y localización de los genes
Para identificar un cromosoma determinado además de conocer su tamaño y su forma, es necesario estudiar las bandas que presenta cuando se tiñen con determinados colorantes. Este bandeado (bandeado cromosómico), es característico de cada cromosoma.

Bandeado cromosómico al aplicar colorantes a los cromosomas
Por otra parte es preciso situar los genes en cada cromosoma. La localización de los genes en los cromosomas ha constituido una larga y complicada labor que ha costado mucho tiempo y esfuerzo. En la actualidad se conocen los loci (plural de locus) de muchos genes de varias especies.

Mapa de un cromosoma
|
|
ver animación número de cromosomas en diferentes especies y repaso de genética
ver cariotipo humano